| Table S9 Full
in situ expression data of newly characterized photoreceptor-enriched
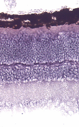
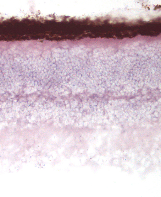
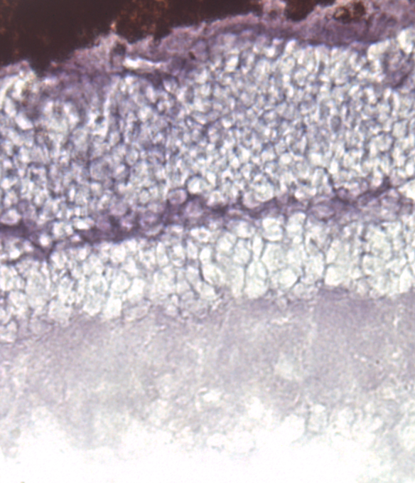
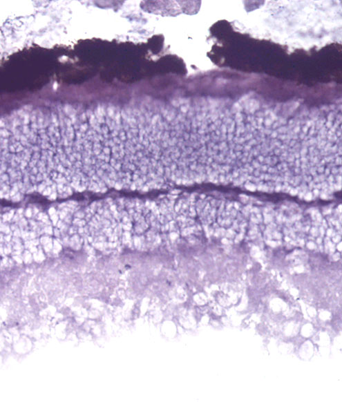
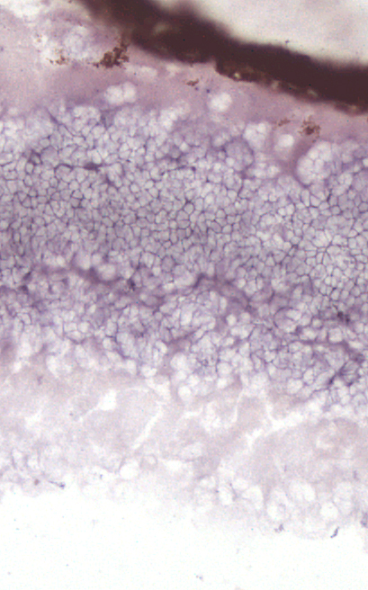
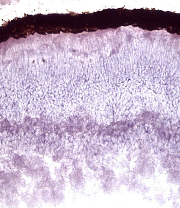
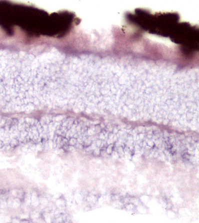
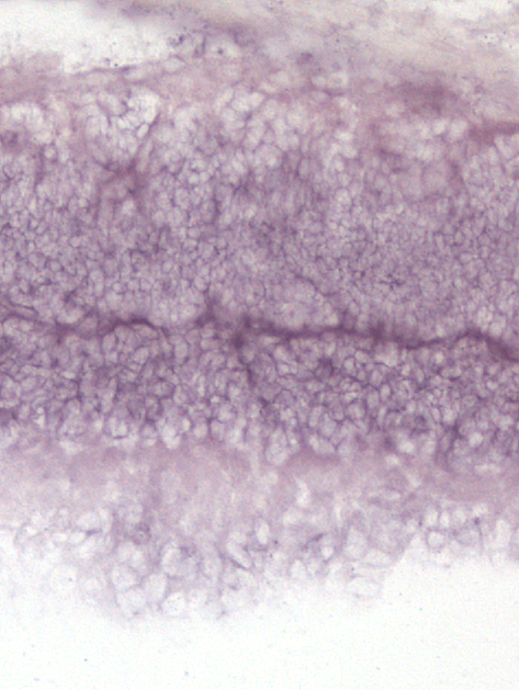
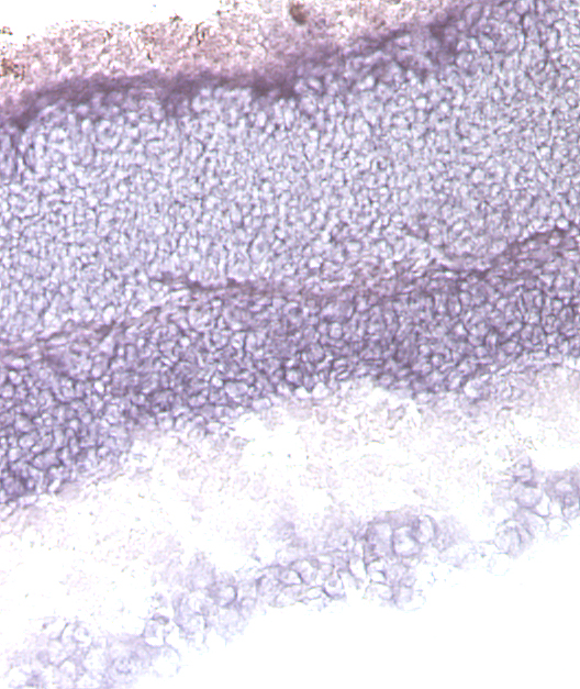
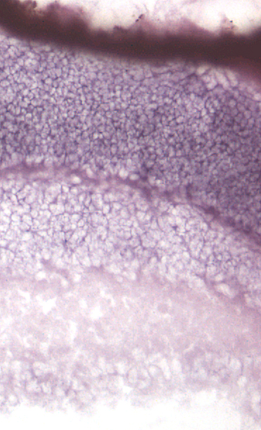
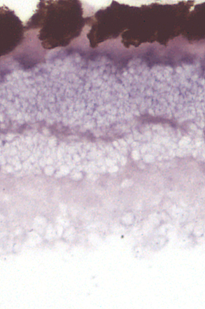
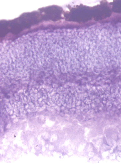
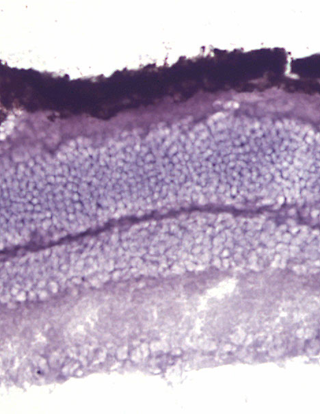
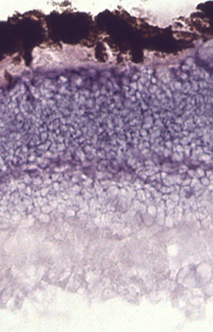
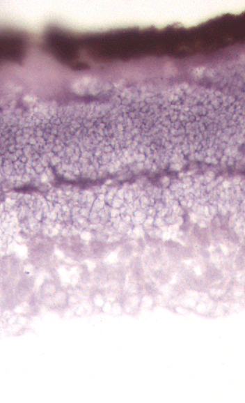
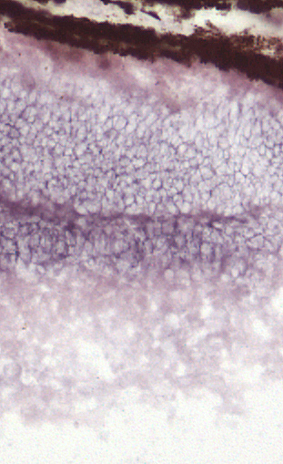
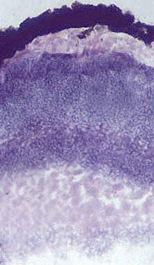
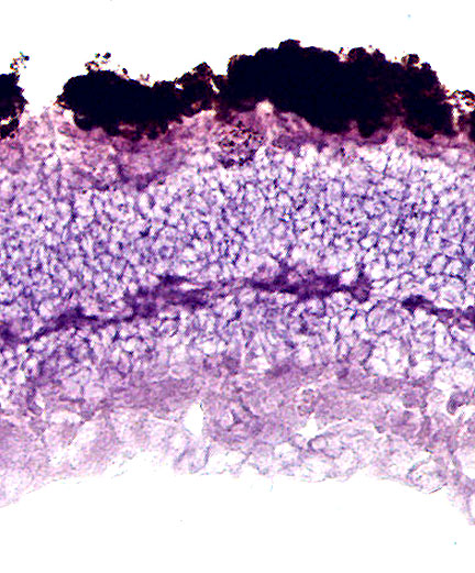
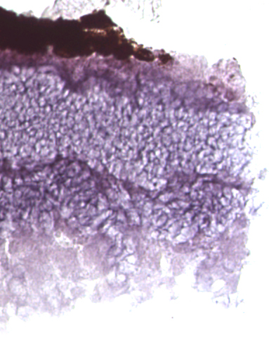
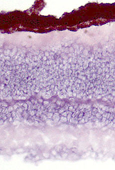
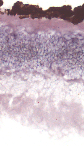
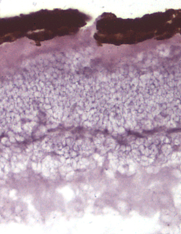
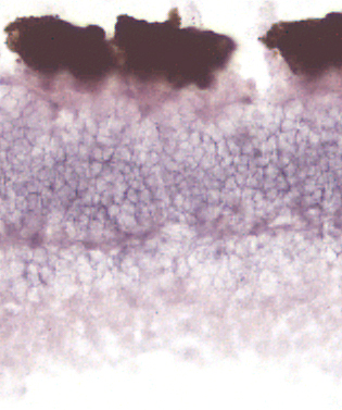
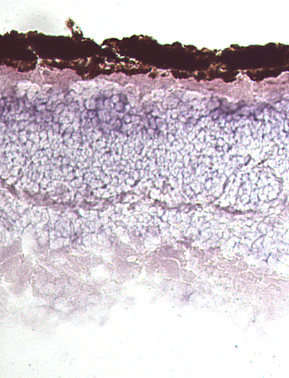
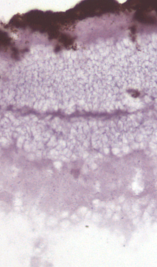
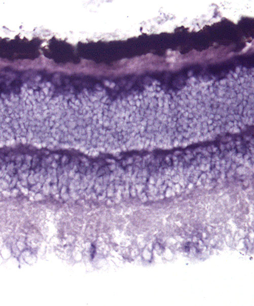
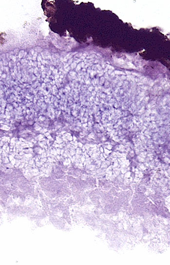
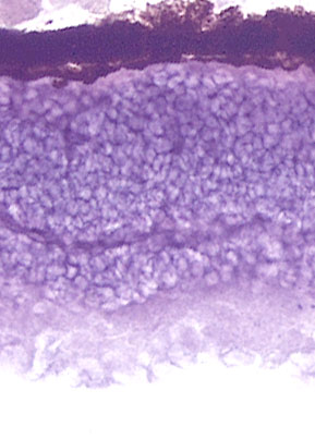
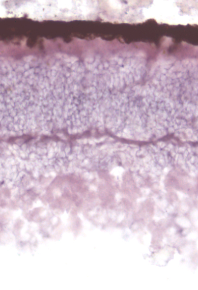
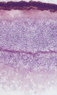
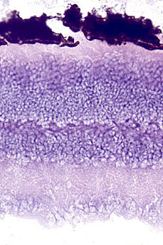
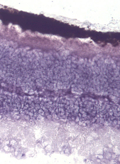
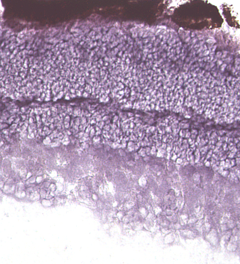
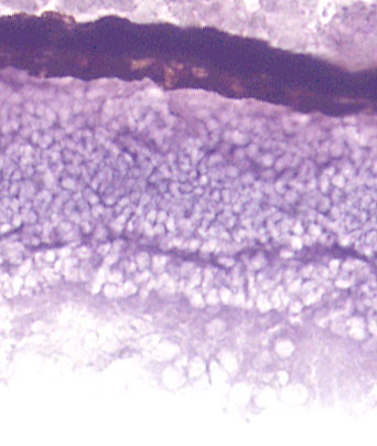
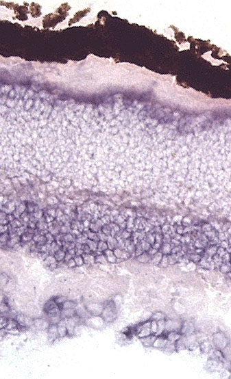
genes This chart shows the full list of in situ expression patterns of newly characterized, confirmed photoreceptor-enriched transcripts. Gene shows the Unigene number and identity of the confirmed photoreceptor-enriched transcripts. Retinal expression indicates the cellular expression pattern of the gene in question within the retina. Abbreviations: IS=inner segments, BP=bipolar neurons, INL=inner nuclear layer, AC=amacrine cells, MG=Muller glia., HZ=horizontal cells. CNS expression pattern indicates the cell types that express the gene in question in the P0-P7 central nervous system (CNS). Abbreviations: Cb=cerebellum, Ctx=cortex, BS=brainstem, Hippo=hippocampus, SVZ=subventricular zone. CNS expression levels indicate overall expression levels in the CNS compared to levels in the retina as scored visually. None=no signal detected V. low= <5% of signal in retina Low=<10% of signal in retina Low/moderate=<20% of signal in retina Moderate=<50% of signal in retina Moderate/high=<75% of signal in retina High=75-150% of signal in retina V. high=>150% of signal in retina Embryonic expression pattern indicates the cell types that express the gene in question in the E14-E16 embryo. Abbreviations: CNS=central nervous system, PNS=peripheral nervous system, ND=not determined. Embryonic expression levels uses the same scale as CNS expression levels. In situ picture contains a link to a photograph of the in situ hybridization pattern in the retina of that particular probe. |
||||||
| Gene | Retinal expression | CNS expression pattern | CNS expression level | Embryonic expression pattern | Embryonic expression level | In situ picture |
| 10085 nuclear factor of activated T-cells, cytoplasmic 1 | ONL+INL | Widespread | Moderate | ND | ND | 10085.jpg |
| 100975 ESTs | ONL+INL | Cb, Hippo | V. low | ND | ND | 100975.jpg |
| 101118 Ras negative regulator Rabex-5/Rin2 | ONL | Hippo | Low | ND | ND | 101118.jpg |
| 101476 ESTs/40838 Na-dependent inorganic phosphate cotransporter/VGLUT-1 | ONL+BP | Ctx/Hippo/Cb | High | None | None | 101476.jpg |
| 101833 ESTs/galectin 8 | ONL+INL | Widespread | Low | ND | ND | 101833.jpg |
| 102470 ESTs | ONL+INL | Widespread | Moderate/high | Liver, lung, kidney | Moderate/high | 102470.jpg |
| 102679 ESTs/MPS1 homolog (perforin domain) | ONL | ND | ND | ND | ND | 102679.jpg |
| 10301 phosphatidylinositol 3-kinase, C2 domain containing, gamma polypeptide | ONL+INL | Widespread | Low/moderate | Kidney, Lung | Moderate | 10301.jpg |
| 103712 ESTs/protein of unknown function | ONL | None | None | ND | ND | 103712.jpg |
| 10780 similar to oligosacharyltransferase STT3 subunit | ONL | Cb, Hippo | Low | ND | ND | 10780.jpg |
| 111887 ESTs/protein of unknown function | ONL+BP | None | None | ND | ND | 111887.jpg |
| 116683 ESTs | ONL/IS | Widespread | Moderate | ND | ND | 116683.jpg |
| 11678 ESTs | ONL | Widespread | Low/moderate | ND | ND | 11678.jpg |
| 117008 ZNF262 | ONL+INL | None | None | CNS | Low | 117008.jpg |
| 117022 AF180470/novel glycosyltransferase | ONL+INL | Hippo/Ctx, Cb | High/moderate | Liver, kidney, CNS, muscle | Moderate/high | 117022.jpg |
| 12019 ESTs/Na-K ATPase beta 2 subunit | ONL/IS | Widespread | Low | ND | ND | 12019.jpg |
| 12055 inositol polyphosphate multikinase | ONL/IS+INL | Cb, Hippo, Ctx | Moderate/high | CNS | Moderate | 139069.jpg |
| 122087 ESTs | ONL+INL | None | None | None | None | 122087.jpg |
| 125811 ESTs | ONL | None | None | ND | ND | 125811.jpg |
| 128183 KIAA0863/homeodomain transcription factor | ONL+INL | Ctx, Hippo | Moderate/high | Widespread | Low | 128183.jpg |
| 12914 Mus musculus ubiquitin-specific protease UBP41 (Ubp41) | ONL+BP | Widespread | Moderate | Widespread | Moderate | 12914.jpg |
| 130902 ESTs/152519 proline-rich protein | ONL+BP | Cb, widespread | High/moderate | Widespread | V.low | 130902.jpg |
| 131592 ESTs | ONL+BP | None | None | ND | ND | 131592.jpg |
| 131653 musashi-1 | ONL | Cerebellum | High | Widespread | Low | 131653.jpg |
| 131710 ESTs | ONL | None | None | ND | ND | 131710.jpg |
| 133032 ESTs | ONL | None | None | ND | ND | 133032.jpg |
| 133521 ESTs/zinc finger homeodomain 4 | ONL | Cb | Low/moderate | CNS, liver | Moderate | 133521.jpg |
| 133603 ESTs/protocadherin gamma C4 | ONL | SVZ/Cb, Hippo | Moderate/low | ND | ND | 133603.jpg |
| 133635 ESTs | ONL | Cb | Low | ND | ND | 133635.jpg |
| 133687 ESTs/similar to OATP-E | ONL/IS+BP | Widespread | Moderate | ND | ND | 133687.jpg |
| 133990 ESTs/nuclear protein | ONL+BP | Cb, Hippo | Moderate/high | ND | ND | 133990.jpg |
| 134304 ESTs | ONL | Cb | Low | ND | ND | 134304.jpg |
| 136988 ESTs/novel K channel? | ONL+BP | Cb | Moderate | CNS, muscle, liver, kidney, lung | Moderate | 136988.JPG |
| 138316 ESTs | ONL | Cb, Hippo | Moderate | ND | ND | 138316.jpg |
| 138550 ESTs | ONL | None | None | ND | ND | 138550.jpg |
| 139204 ESTs/MHC E-beta 2 | ONL | Cb, widespread | High/low | Widespread | Low | 139204.jpg |
| 140496 Fanconi anemia complementation group E homolog | ONL/IS+AC | Widespread | Moderate/high | Widespread | Moderate | 140496.jpg |
| 14099 hematopoetic zinc finger | ONL/IS+AC | Widespread | Low | Widespread | Low | 14099.jpg |
| 143811 Mus musculus BETA3 mRNA, complete cds | ONL+BP | Cb, Hippo | Low/moderate | ND | ND | 143811.jpg |
| 143816 poly(rC)-binding protein 3 | ONL/IS | None | None | ND | ND | 143816.jpg |
| 150221 EST | ONL | Cb, Hippo, Ctx | V. low | ND | ND | 150221.jpg |
| 150542 ESTs | ONL | Widespread | Low | ND | ND | 150542.jpg |
| 150554 EST | ONL+INL | Cb | Low | ND | ND | 150554.jpg |
| 151012 ESTs | ONL+INL | Cb, Hippo, Ctx | High | CNS, intestine, thymus, liver, kidney | Moderate | 151012.jpg |
| 151536 ESTs | ONL | Cb, Hippo | Low/moderate | None | None | 151536.jpg |
| 152323 ESTs/DRIM | ONL | Ctx, Hippo | V. low | None | None | 152323.jpg |
| 152952 ESTs | ONL/IS | None | None | ND | ND | 152952.jpg |
| 1532 ESTs/PP1665 | ONL+INL | Ctx, Hippo, Cb | High | Widespread | Moderate | 1532.jpg |
| 153891 ESTs/protein phosphatase 4a3 | ONL+INL | Widespread | Low | CNS | Low | 153891.jpg |
| 153895 ESTs | ONL+INL | Widespread | Low | None | None | 153895.jpg |
| 154489 ESTs, Moderately similar to AF094609_1 fertility related protein WMP1 [R.norvegicus] | ONL | Hippo | Low | None | None | 154489.jpg |
| 1640 cerebellar degeneration-related 2 | ONL/IS | BS | Low | ND | ND | 1640.jpg |
| 1693 high mobility group box 2 | ONL/IS+INL | SVZ/Cb, glia | Moderate/high | ND | ND | 1693.jpg |
| 17613 ESTs/probable SNK/polo-like kinase | ONL+BP | Cb, Hippo | Low | ND | ND | 17613.jpg |
| 17804 ESTs/mCTR2 | ONL | Cb, Hippo | Low | ND | ND | 17804 .jpg |
| 182462 ESTs | ONL/IS+AC | Widespread | Low/moderate | ND | ND | 182462.jpg |
| 183018 ESTs | ONL+INL | Hippo/Cb | High | CNS/liver, kidney, lung | Low/moderate | 183018.jpg |
| 1843 heat shock 90kD protein 1, alpha | ONL/IS | Widespread | Moderate | ND | ND | 1843.jpg |
| 18499 ESTs | ONL+INL | Ctx | Moderate | Widespread | Moderate | 18499.jpg |
| 18516 H3 histone, family 3B | ONL/IS+AC | Hippo, ctx | Moderate | ND | ND | 18516.jpg |
| 18522 carnitine palmitoyltransferase 1, liver | ONL | None (Meninginal cells) | None (Moderate) | ND | ND | 18522.jpg |
| 186013 EST | ONL | Cb | Low | None | None | 134312.jpg |
| 19077 ESTs/KIAA1351 rac GTPase related | ONL | None | None | ND | ND | 19077.jpg |
| 1915 ESTs | ONL/IS | Hippo, OB, Ctx | Low | Gut, liver, CNS | Low/moderate | 1915.jpg |
| 1921 ESTs, Moderately similar to KIAA0826 protein [H.sapiens] | ONL | Hippo, Cb | V. low | ND | ND | 1921.jpg |
| 193093 PKAbeta | ONL+INL | Cb | Low | CNS | Low | 35830.jpg |
| 196081 novel cylophilin/high retinal expression | ONL+INL | Widespread | Low/moderate | None | None | 196081.jpg |
| 2003 mdm-1 nuclear protein | ONL/IS | Ependymal cells | Moderate/high | ND | ND | 2003.jpg |
| 200894 ESTs/KIAA0306 (cytoskeletal) | ONL+INL | Widespread | High | ND | ND | 200894.jpg |
| 2032 interferon dependent positive acting transcription factor 3 gamma | ONL/IS+INL | Widespread | Moderate | ND | ND | 2032.jpg |
| 20872 like-glycosyltransferase | ONL+BP | Widespread | High | ND | ND | 20872.jpg |
| 21383 ESTs/CGI-145 | ONL/IS | Widespread | Low | Blood vessels, liver | Moderate/high | 21383.jpg |
| 21389 type II deiodinase | ONL+INL | Widespread | Moderate/high | Widespread | Moderate | 21389.jpg |
| 21470 ESTs/similar to UDP-galactose transporter-related protein | ONL+INL | Widespread | Low | Muscle, intestine | Low | 21470.jpg |
| 21761 ESTs, Moderately similar to A56391 lamina associated polypeptide 1C long splice form - rat [R.norvegicus] | ONL | Cb | Low | ND | ND | 21761.jpg |
| 22085 Mus musculus ADP-ribosylation factor-like protein 3 (Arl3) mRNA, complete cds | ONL/IS | Hippo/widespread | Moderate/low | ND | ND | 22085.jpg |
| 22314 ATP-binding cassette, sub-family A (ABP1), member 3 | ONL+INL | Widespread | Low | CNS, liver, muscle | Moderate | 22314.jpg |
| 22358 ESTs, Weakly similar to TFSL_MOUSE TRANSCRIPTION FACTOR S-II-RELATED PROTEIN 3 [M.musculus] | ONL+BP | Hippo, Cb, Ctx | Low | ND | ND | 22358.jpg |
| 2240 ESTs, Weakly similar to hypothetical protein [H.sapiens] | ONL | Cb, Hippo | Moderate | ND | ND | 2240.jpg |
| 22440 lifeguard/anti Fas-mediated apoptosis | ONL/IS+BP | Cb, Hippo, Ctx | Moderate | ND | ND | 22440.jpg |
| 22682 ESTs, Moderately similar to PHOSPHATIDYLINOSITOL-4-PHOSPHATE 5-KINASE TYPE II [Homo sapiens] | ONL/IS+BP | Widespread | Moderate/high | ND | ND | 22682.jpg |
| 22758 ESTs/potential steriod isomerase | ONL | None | None | None | None | 22758 .jpg |
| 23195 ESTs, Weakly similar to KIAA0377 [H.sapiens] | ONL | None | None | ND | ND | 23195.jpg |
| 23494 ESTs/KIAA0931 | ONL | None | None | ND | ND | 23494.jpg |
| 23739 XAB2/HCNP | ONL+BP | Hippo, Ctx, Cb | Moderate | ND | ND | 23739.jpg |
| 23843 ESTs/novel lectin binding protein | ONL+INL | Widespread | Low/moderate | CNS | Low | 23843.jpg |
| 2389 myeloid/lymphoid or mixed-lineage leukemia | ONL+INL | Widespread | Moderate/high | ND | ND | 2389.jpg |
| 2395 male enhanced antigen 1 | ONL/IS | None | None | ND | ND | 2395.jpg |
| 23971 dsRNA adenosine deaminase | ONL | None | None | ND | ND | 23971.jpg |
| 2400 glutathione peroxidase 4 | ONL+INL | Widespread | Moderate | CNS | Moderate | 2400.jpg |
| 24009 ESTs | ONL+INL | Widespread | Low/moderate | CNS, liver, muscle | Low/moderate | 24009.jpg |
| 24014 ESTs/similar to KIAA1052 | ONL | Cb, Ctx, Hippo | Low/moderate | ND | ND | 24014 .jpg |
| 24117 ESTs, Moderately similar to unnamed protein product [H.sapiens] | ONL+INL | Widespread | High | Widespread | Moderate/high | 24117.jpg |
| 24149 ESTs/contains G beta repeats | ONL/IS+INL | Ctx, Hippo | Moderate | CNS | Low | 24149.jpg |
| 24300 leucine zipper transcription factor | ONL/IS+INL | Cb, Hippo | Low | Widespread | Low | 24300.jpg |
| 24309 ESTs/harmartin (tuberous sclerosis 1) | ONL | Widespread | Low | ND | ND | 24309.jpg |
| 24430 unc5 homolog (C. elegans) 3 | ONL | Cb | Low/moderate | None | None | 24430.jpg |
| 24514 ESTs/rheb2 | ONL+INL | None | None | None | None | 24514.jpg |
| 24594 mitochondrial uncoupling protein 1 | ONL+BP | Widespread | Moderate | ND | ND | 24594.jpg |
| 25298 signal transducer and activator of transcription 3 interacting protein 1 | ONL+INL | Widespread | Low | Liver | High | 25298.jpg |
| 25695 ESTs/bicaudal C (RNA bp) | ONL | SVZ, Cb | High | Ependyma | Moderate | 25695.jpg |
| 25715 KIAA0853 | ONL | Cb | Moderate | None | None | 25715.jpg |
| 26579 ESTs/weakly similar to spectrin | ONL+BP | Widespread | Low | ND | ND | 26579.jpg |
| 2672 mannoside acetylglucosaminyltransferase 1 | ONL/IS+BP | Widespread | Moderate | ND | ND | 2672.jpg |
| 26828 ESTs/erb2-interacting protein ERBIN | ONL | None | None | ND | ND | 26828.jpg |
| 27013 ESTs/voltage-dependent calcium channel beta-2c | ONL+INL | None | None | Widespread | Low | 27013.jpg |
| 27029 ESTs | ONL+INL | Widespread | Low/moderate | ND | ND | 27029.jpg |
| 27033 DNA segment, Chr 15, ERATO Doi 81, expressed | ONL | Ctx, Cb | Low/moderate | ND | ND | 27033.jpg |
| 27057 ESTs | ONL+INL | OE | Low/moderate | ND | ND | 27057.jpg |
| 27232 ESTs/novel Zn finger protein | ONL+INL | Widespread | Low | ND | ND | 27232.jpg |
| 27256 discs large homolog 4 | ONL+INL | Widespread | Moderate/high | ND | ND | 27256.jpg |
| 27325 Kruppel like factor 4 | ONL+INL | Widespread | High | CNS, liver | Moderate/high | 27325.jpg |
| 27359 ESTs/nephronopthisis protein | ONL+INL | Hippo, Cb | Moderate | None | None | 27359.jpg |
| 27359 monocarboxylate transporter 6 | ONL+INL | Widespread | Low/moderate | ND | ND | 27359.jpg |
| 27496 ubiquitin specific protease 1 | ONL | Cb | Low/moderate | ND | ND | 27496.jpg |
| 27583 ESTs, Weakly similar to ZK1058.5 [C.elegans]/methyltransferase | ONL+INL | Cb, Hippo | Low/moderate | CNS, liver | Low/moderate | 27583.jpg |
| 27673 ESTs/osteoblast protein/novel glycosyltransferase | ONL/IS | Widespread | Moderate/high | Widespread | Moderate | 27673.jpg |
| 27698 ESTs/KIAA0140 homolog (putative nuclear protein) | ONL+INL | None | None | Liver | Moderate | 27698.jpg |
| 27728 ESTs | ONL/IS+INL | Cb, Hippo | Low | ND | ND | 27728.jpg |
| 27802 thymic dendritic cell derived factor | ONL | Ctx, Hippo, Cb | Low/moderate | CNS, liver, kidney | Low | 27802.jpg |
| 28005 BBS2 | ONL+INL | Ctx, Hippo, Cb | Low | ND | ND | 28005.jpg |
| 28147 ESTs, Moderately similar to POLYPOSIS LOCUS PROTEIN 1 [Homo sapiens] | ONL/IS | Widespread | Low | ND | ND | 28147.jpg |
| 28209 Mus musculus p53 apoptosis-associated target (Perp) mRNA/tetraspanin | ONL | None | None | ND | ND | 28209.jpg |
| 28405 serum/glucocorticoid regulated kinase/hypertonicity activated | ONL/IS | Ctx, Hippo | Moderate | Midbrain, spinal cord, liver | Low/moderate | 28405.jpg |
| 28482 ESTs | ONL/IS+BP | Cb, Hippo | Moderate | ND | ND | 28482.jpg |
| 28526 ESTs /KIAA0321 FYVE Zn fingers+weak similarity to hrs-2 | ONL+INL | Widespread | Moderate | ND | ND | 28526.jpg |
| 28542 ESTs, Weakly similar to similar to S. cerevisiae hypothetical protein YKL166 [C.elegans] | ONL/IS | Widespread | Moderate/High | Liver, muscle | Low | 28542.jpg |
| 28654 ESTs, Weakly similar to CG8195 gene product [D.melanogaster] | ONL | Widespread | Low | Widespread | Low | 28654.jpg |
| 28896 phosphatidylcholine transfer protein-like | ONL/IS+AC | Hippo | Low | ND | ND | 28896.jpg |
| 28914 ESTs | ONL+INL | Widespread | High | Widespread | Moderate/high | 28914.jpg |
| 29001 ESTs, Highly similar to URACIL PHOSPHORIBOSYLTRANSFERASE [Saccharomyces cerevisiae] | ONL | Widespread | Low/moderate | ND | ND | 29001.jpg |
| 29055 chromobox HP1 | ONL+INL | None | None | CNS | Moderate | 29055.jpg |
| 29308 protein L-isoaspartate-O-methyltransferase homolog | ONL/IS | Cb | V. low | ND | ND | 29308.jpg |
| 29356 ESTs/isoprenylcyteine carboxylmethyltransferase | ONL/IS | None | None | None | None | 29356.jpg |
| 29385 protein phosphatase 1, regulatory subunit 10 | ONL+INL | Ctx, Cb | Moderate | CNS | Low | 29385.jpg |
| 29477 peroxisome proliferative activated receptor, gamma, coactivator 2 | ONL+INL | None | None | None | None | 29477.jpg |
| 29579 ESTs | ONL+BP | Widespread | Moderate | ND | ND | 29579.jpg |
| 29730 four jointed box 1 | ONL | None | None | ND | ND | 29730.jpg |
| 29762 taurine/beta-alanine transporter | ONL/IS+BP | Blood vessels, widespread | High/low | ND | ND | 29762.jpg |
| 29794 Y box bp 3 | ONL/IS | Ctx, Hippo, Cb | Low | Liver, sensory ganglia, hair follicles | Moderate | 29794.jpg |
| 29912 ESTs, Moderately similar to molybdopterin synthase sulfurylase [H.sapiens] | ONL+INL | Widespread | Low/moderate | ND | ND | 29912.jpg |
| 30007 Mus musculus muscleblind mRNA, complete cds | ONL | Hippo/Cb | Low | Widespread | Low | 30007.jpg |
| 30038 erythrocyte protein band 4.1 | ONL | Cb | High | Liver, kidney | Moderate | 30038.jpg |
| 30058 amino acid transporter protein NAT-1/histidine+glutamine | ONL+MG | Glia, ependymal cells | Moderate, High | Liver, muscle | High | 30058.jpg |
| 30069 Tax1BP/interacts with A20 | ONL/IS | Widespread | Moderate/high | ND | ND | 30069.jpg |
| 30200 ESTs, Highly similar to ELECTRON TRANSFER FLAVOPROTEIN BETA-SUBUNIT [Paracoccus denitrificans] | ONL+INL | Hippo, Cb | High | ND | ND | 30200.jpg |
| 30556 ESTs | ONL | Widespread | Low | ND | ND | 30556.jpg |
| 30688 ESTs/CMV fusion receptor | ONL+BP | Widespread | Moderate/high | ND | ND | 30688.jpg |
| 30829 ESTs/cyclin D-binding myb-like transcription factor | ONL | None | None | ND | ND | 30829.jpg |
| 30870 ESTs | ONL+BP | Widespread | Low/moderate | ND | ND | 30870.jpg |
| 30911 ESTs | ONL | Cb, Hippo | Low/moderate | ND | ND | 30911.jpg |
| 30935 ESTs, Highly similar to tudor repeat associator with PCTAIRE 2 [R.norvegicus] | ONL | None | None | ND | ND | 30935.jpg |
| 31161 ESTs | ONL | Cb | V. low | ND | ND | 31161.jpg |
| 31170 cyclin K -- Cbp/p300-interacting transactivator, with Glu/Asp-rich carboxy-terminal domain, 4 | ONL/IS+AC | Ctx, Cb, Hippo | Low/moderate | Muscle | Low | 31170.jpg |
| 31514 ESTs, Moderately similar to cell growth regulator rCGR19 [R.norvegicus] | ONL+INL | Widespread | Moderate/high | Liver, CNS | Moderate | 31514 .jpg |
| 32382 Interferon regulatory factor 6 | ONL | Ctx | Low/moderate | ND | ND | 32382.jpg |
| 32416 ESTs/novel glycosyltransferase | ONL | Ctx | Low | ND | ND | 32416.jpg |
| 33118 ESTs/novel rdgB2 homolog | ONL | None | None | None | None | 33118.jpg |
| 33583 single-strand selective uracil gycosylase (SMUG1) | ONL | Widespread | Low | ND | ND | 33583.jpg |
| 33875 torsin family 2, member A | ONL/IS/BP | Cb, Hippo | Low | Muscle, liver | Low/moderate | 33875.jpg |
| 33915 ESTs | ONL | Cb | Low | ND | ND | 33915.jpg |
| 33944 ESTs/splicing? | ONL+BP | Widespread | Moderate | None | None | 33944.jpg |
| 340 high-mobility group protein 4 | ONL/IS | Cb | High | CNS, liver | Moderate/high | 340.jpg |
| 34125 ESTs | ONL+INL | Cb-PC | V. high | ND | ND | 34125.jpg |
| 34200 Syntaxin 3A | ONL | Hippo | Low | Liver | Low | 34200.jpg |
| 34308 ESTs | ONL | None | None | Subset of cells in kidney medulla | Moderate/none | 34308.jpg |
| 34326 ESTs/Zn finger | ONL | Widespread | Low | ND | ND | 34326.jpg |
| 34704 interleukin 15 receptor, alpha chain | ONL+INL | Widespread | High | ND | ND | 34704.jpg |
| 34855 ESTs | ONL | Cb, Hippo | Low | ND | ND | 34855.jpg |
| 34885 ESTs/Abeta crystallin-related/small HSP-like | ONL/IS | SVZ | High | Lung, smooth muscle | Low/moderate | 34885.jpg |
| 35016 histocompatibility 2, T region locus 23 | ONL+INL | Widespread | High | Widespread | Low/moderate | 35016.jpg |
| 35060 ESTs/novel IAP | ONL | None | None | ND | ND | 35060.jpg |
| 35108 ESTs/similar to D. unkempt zinc finger protein | ONL+BP | None | None | CNS | Moderate | 35108.jpg |
| 35159 ESTs | ONL | Cb | High | ND | ND | 35159.jpg |
| 35848 male germ-cell associated kinase | ONL | Ependymal cells, OE | Low/moderate | Liver, intestine | Low | 35848.jpg |
| 36292 ESTs/ubiquitin hydrolyzing enzyme 1 | ONL+BP | Widespread | Moderate | CNS | Moderate | 36292.jpg |
| 36545 ESTs/esterase 10 | ONL/IS+INL | Widespread | Moderate | ND | ND | 36545.jpg |
| 3667 vitronectin | ONL/IS | Meninges, microglia | High | Liver | High | 3667.jpg |
| 36894 transcription factor 12/HTF4 | ONL+MG | Hippo, glia | Moderate/high | ND | ND | 36894.jpg |
| 37607 ESTs | ONL | Cb | Low | ND | ND | 37607.jpg |
| 38058 ESTs | ONL/IS | Ctx, Hippo | Moderate/high | Ctx | Moderate/high | 38058.jpg |
| 38381 ESTs, Weakly similar to DHBK_MOUSE PUTATIVE STEROID DEHYDROGENASE KIK-I [M.musculus] | ONL/IS | Widespread | V. low | ND | ND | 38381.jpg |
| 38763 ESTs/IMP dehydrogenase 1 | ONL/IS | Widespread | Low/moderate | ND | ND | 38763.jpg |
| 3879 hypoxia inducible factor 1, alpha subunit | ONL/IS+AC | Widespread | V. low | ND | ND | 3879.jpg |
| 38890 ESTs/Daxx | ONL+INL | Ctx, Cb | Moderate | ND | ND | 38890.jpg |
| 38993 ESTs/calsyntenin 1 | ONL+INL | Widespread | Low/moderate | CNS, intestine | Low | 38993.jpg |
| 39097 ESTs | ONL/IS | Widespread | Low | Liver | Low | 39097.jpg |
| 39513 ESTs/KCNMA1 calcium-activated potassium channel | ONL+BP | None | None | ND | ND | 39513.jpg |
| 39855 ESTs/novel sialyltransferase | ONL/IS | widespread in dev, none in mature | Low/moderate | None | None | 39855.jpg |
| 39888 ESTs/KIAA0735 SV2B | ONL/IS+BP | Ctx, Hippo, subsets of BS neurons | High | None | None | 39888.jpg |
| 40297 ESTs/Kv2.1 potassium channel | ONL/IS | None | None | ND | ND | 40297.jpg |
| 4063 N-myc downstream regulated 1 | ONL+INL+HZ | Ctx, Hippo, Cb | Low/moderate | Forebrain | High | 4063.jpg |
| 40727 ESTs/novel cadherin | ONL/IS | Layer IV/frontal Ctx | High | None | None | 40727.jpg |
| 40852 ESTs | ONL | None/v. low | None | None | None | 40852 .jpg |
| 41269 ESTs/lysophosphatidic acid acyltransferase-gamma1 | ONL/IS | Widespread | Low | ND | ND | 41269.jpg |
| 41271 ESTs/similar to phosphotidylcholine transfer protein | ONL | Hippo/widespread | High/moderate | Liver, muslce | Moderate/high | 41271.jpg |
| 41350 ESTs/TED homolog/CAG repeat | ONL+INL | Cb, Hippo | Moderate | Widespread | Low | 41350.jpg |
| 41406 ESTs, Highly similar to KIAA0913 protein [H.sapiens] | ONL/IS+INL | Ctx, Hippo | Low/moderate | CNS | Low | 41406.jpg |
| 41489 protein of unknown function | ONL+BP | Widespread | Low | ND | ND | 41489.jpg |
| 41649 ESTs/KIAA0515 ubiquitin-like motif? | ONL+BP | Cb | Mod | ND | ND | 41649.jpg |
| 41702 Sox11 | ONL+INL | None | None | CNS | Moderate | 41702.jpg |
| 41744 ESTs/KIAA0795 | ONL | Widespread | Low | ND | ND | 41744.jpg |
| 41776 otoconin 90/phospholipase A2-like/ECM | ONL+INL | Inner ear, Cb | V. high/moderate | Inner ear | V. high | 41776.jpg |
| 41860 ESTs, Weakly similar to collagen type XIV [M.musculus] | ONL+AC | Meninges, widespread | High, low | Basement membrane | High | 41860.jpg |
| 41877 ESTs, Weakly similar to mCAC [M.musculus] | ONL/IS+AC | Subset of brainstem neurons | Moderate | Liver, sensory neurons | Moderate | 41877 .jpg |
| 43603 carboxypeptidase E | ONL/IS+INL | Widespread | Moderate/high | ND | ND | 43603.jpg |
| 43731 KIAA1134 | ONL | None | None | ND | ND | 43731.jpg |
| 43737 M.musculus mRNA for casein kinase I-alpha | ONL | Widespread | Low/moderate | ND | ND | 43737.jpg |
| 44123 Similar to hypothetical protein FLJ20186/DAG binding motif/4 LZ/TNFR C-rich motif | ONL+INL | Cb, Hippo, Ctx | Low/moderate | ND | ND | 44123.jpg |
| 44702 ESTs | ONL+INL | Widespread | High | ND | ND | 44702.jpg |
| 4471 ESTs/v. weak similarity to prominin? | ONL | Cb | Moderate | ND | ND | 4471.jpg |
| 44868 ESTs/novel protein kinase | ONL | Cb | Low | ND | ND | 44868.jpg |
| 45160 ESTs | ONL+INL | Ctx, Hippo | Moderate | CNS, liver | Low/moderate | 45160.jpg |
| 45192 ESTs/KCNE2 minK-type K-channel MiRP1 | Subsets of rods+subsets of BP | Choroid plexus | Extremely high | Choroid plexus | Extremely high | 45192.jpg |
| 45194 ESTs, Moderately similar to unnamed protein product [H.sapiens] | ONL+INL | Widespread | High | CNS, muscle | High | 45194.jpg |
| 45237 ESTs, Highly similar to atypical PKC specific binding protein [R.norvegicus] | ONL+BP | Widespread | Moderate/high | ND | ND | 45237.jpg |
| 45390 ESTs | ONL | Cb | V. low | None | None | 45390.jpg |
| 45565 ESTs/Dyrk2 | ONL+BP | Cb, Hippo | Moderate | ND | ND | 45565.jpg |
| 45994 tetraspan 1 | ONL | Cb | V. low | ND | ND | 45994.jpg |
| 46019 ESTs/FYVE Zn finger and WD-40 domain | ONL | Widespread | Low | Liver | High | 46019.jpg |
| 46489 ESTs/chondroitin 4-sulfotransferase paralog | ONL | Widespread | Low | Widespread | Moderate | 46489.jpg |
| 46606 ESTs, Moderately similar to SECIS binding protein 2 [R.norvegicus] | ONL | Cb | Moderate | ND | ND | 46606.jpg |
| 46628 vascular endothelial zinc finger 1 | ONL+BP | Blood vessels, Cb | High/Low | Blood vessels, Cb | High | 46628.jpg |
| 46764 phosphitidate cytidyltransferase | ONL/IS | SVZ, ependymal cells | Low/moderate | ND | ND | 46764.jpg |
| 46776 ESTs | ONL+INL | Ctx, Hippo, Cb | Moderate/high | CNS, muslce, liver, lung, kidney | Moderate/high | 46776.jpg |
| 46786 tctex-1 | ONL | Widespread | Low | ND | ND | 46786.jpg |
| 47052 similar to testis lipid binding protein | ONL | None | None | None | None | 47052.jpg |
| 4881 granin-like neuroendocrine peptide precursor | ONL+INL | Ctx, Hippo | High | CNS | Moderate | 4881.jpg |
| 5185 ESTs | ONL | None | None | ND | ND | 5185.jpg |
| 54359 Mus musculus APRIL mRNA, complete cds | ONL | Widespread | Low | ND | ND | 54359.jpg |
| 54993 novel PI PDE | ONL | None | None | ND | ND | 54993.jpg |
| 56990 excision repair 2 | ONL/IS+BP | Widespread | Moderate | ND | ND | 56990.jpg |
| 57052 GTP-rho binding protein 1 | ONL | OE | V. low | ND | ND | 57052.jpg |
| 5856 Mus musculus BS4 peptide mRNA, complete cds | ONL/IS+INL | Brainstem | Moderate | Spinal cord/liver, brain | High/low | 5856.jpg |
| 63232 ESTs/PR domain containing 8 | ONL+INL | Cb, Hippo | Low/moderate | ND | ND | 63232.jpg |
| 6667 single-strand DNA binding protein 3 | ONL+BP | Ctx, Hippo | Moderate | ND | ND | 6667.jpg |
| 68134 ESTs/novel MAP | ONL+INL | Widespread | High | ND | ND | 68134.jpg |
| 68170 Kir2.4 | ONL/IS+AC | Cb, Hippo, Ctx | Moderate/high | ND | ND | 68170.jpg |
| 69023 ESTs, Weakly similar to KIAA1537 protein [H.sapi/FYVE Zn finger | ONL/IS+BP | Widespread | Low | CNS | Low | 69023.jpg |
| 69049 Mus musculus hypothetical protein mRNA, partial cds/similar to RAD4 | ONL | None | None | ND | ND | 69049.jpg |
| 695 abl-interactor 1 | ONL | Cb | Low | ND | ND | 695.jpg |
| 70121 ESTs/novel CaBP | ONL+INL | Cb, Hippo | Moderate/high | ND | ND | 70121.jpg |
| 71015 protein disulfide isomerase related protein | ONL | Widespread | Low/moderate | ND | ND | 71015.jpg |
| 732 dolichyl-phosphate mannosyltransferase polypeptide 3 | ONL+AC | Widespread | Moderate | Widespread | V. low | 732.jpg |
| 7331 pre B-cell leukemia transcription factor 3 | ONL | SVZ/thalamus | V. high/high | CNS | Moderate/high | 7331.jpg |
| 74737 ESTs/SOD3 | ONL | Cb, Hippo, Ctx | Low | ND | ND | 74737.jpg |
| 7919 hrs-2 Zn finger SNAP-25 interacting ATPase | ONL | Purkinje cells/mitral cells/subset of brainstem neurons | Moderate/high | Ventral CNS | Moderate | 7919.jpg |
| 80063 ESTs | ONL+BP | Widespread | Moderate/high | ND | ND | 80063.jpg |
| 80685 microfibril associated glycoprotein | ONL/IS+BP | Widespread | V. low | ND | ND | 80685.jpg |
| 814 DNA segment, Chr 10, ERATO Doi 398, expressed/4.1G | ONL+MG | Glia | Moderate | Widespread | Low/moderate | 814.jpg |
| 81416 novel retinol dehydrogenase/CGI-82 | ONL | None | None | ND | ND | 81416.jpg |
| 8180 Ly6C | ONL | Widespread | High | CNS/PNS | High | 8180.jpg |
| 86457 ESTs/novel protein kinase | ONL+BP | None | None | ND | ND | 86457.jpg |
| 87450 oxysterol binding protein | ONL+INL | Widespread | Moderate | ND | ND | 87450.jpg |
| 87653 ESTs/novel Zn finger | ONL+BP | Cb | Low/moderate | ND | ND | 87653.jpg |
| 89136 H3 histone, family 3A | ONL/IS/BP | Widespread | Moderate | CNS | High | 89136.jpg |
| 89584 inositol hexakisphosphate kinase 2 | ONL/IS | Cb, Hippo, Ctx | High | ND | ND | 89584.jpg |
| 9001 nemo like kinase | ONL+BP | Ctx, Hippo, Cb | Moderate/high | Muscle | Moderate/high | 9001.jpg |
| 90048 estrogen related receptor beta 2 | ONL | None | None | ND | ND | 90048.jpg |
| 90390 myotubularin-related protein 4/novel FYVE Zn finger phosphatase | ONL | Cb, Hippo/Widespread | High/moderate | Widespread | Moderate | 90390.jpg |
| 9086 solute carrier family 16 (monocarboxylic acid transporters), member 1 | ONL/IS+INL | None | None | ND | ND | 9086.jpg |
| 911 high mobility group protein 17 | ONL/IS+AC | Widespread | V. low | Widespread | High | 911.jpg |
| 95741 ESTs/Zn finger transcription factor | ONL+INL | Hippo, Cb, Ctx | Low/moderate | Liver | Moderate | 95741.jpg |
| 9838 ESTs | ONL/IS | Widespread | Low | Widespread | Moderate/high | 9838.jpg |